- Accueil
- L'orthodontie & vous
- La contention, à quoi sert-elle ?
La contention, à quoi sert-elle?
La contention a pour but de maintenir le résultat obtenu avec le traitement orthodontique.
Elle devra durer au minimum 12 mois après la fin du traitement, c’est le temps nécessaires aux fibres élastiques ligamentaires pour se renouveler et stabiliser les dents dans leurs nouvelles positions (d’après les travaux de Reitan).
Plusieurs systèmes peuvent être utilisés :
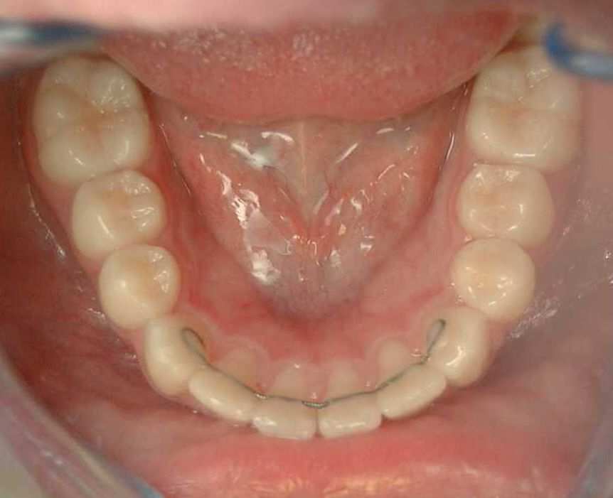
La contention fixe

La contention amovible
La gouttière

Le positionneur

