- Accueil
- L'orthodontie & vous
- Fonctions et parafonctions
Fonctions et parafonctions
Les fonctions orofaciales
Déglutition, mastication, respiration, sont des fonctions fondamentales dans le développement des mâchoires. Elles influencent plus au moins favorablement la croissance des mâchoires et la position des dents.
La déglutition devra être mature, langue en appui au palais.
La respiration doit être nasale.
La mastication doit se faire de façon équilibrée des 2 cotés.

La fonction de respiration
La respiration nasale permet un bon développement de la mâchoire supérieure.
La respiration buccale entraine un déficit de croissance en largeur de cette mâchoire et les dents ne pourront pas y trouver leur place correcte. La mâchoire inférieure ne grandit pas assez vers l’avant, mais davantage vers le bas, créant une croissance verticale, le décalage s’aggrave alors, les lèvres ont des difficultés à rester jointes rendant encore plus difficile la respiration nasale.
Les apnées du sommeil sont liées à un excès de tissus mous : amygdales, voile du palais et/ou une insuffisance de développement du maxillaire.
Les ronflements, un sommeil peu récupérateur doivent faire évoquer ce syndrome. Voir aussi "Éducation
fonctionnelle" et "Orthodontie et amygdales
hypertrophiées".
Les apnées du sommeil augmentent le rythme cardiaque et la tension artérielle et peuvent favoriser une hypertension artérielle ou des accidents vasculaires cérébraux.
C’est la cause organique la plus fréquente de somnolence diurne.
Consultez le site de la Société Française d'Orthopédie Dento-Faciale pour plus d'informations sur les
syndromes d’apnée obstructive du sommeil (SAOS).
La fonction masticatoire
Une mastication prédominante d’un coté, entraîne une asymétrie des arcades dentaires.
La croissance de la mâchoire inférieure est déviée du coté mastiquant.
Ceci étant souvent à l’origine de douleurs et de craquements articulaires.

La déglutition
C’est l’action d’avaler, salive ou bol alimentaire.
La déglutition mature se fait :
-
lèvres jointes non contractées
-
dents serrées
-
la langue en appui au palais
La déglutition primaire, à l’inverse, se réalise avec une contraction des lèvres et des joues, la langue s’appui sur les dents, poussant ces dernières vers l’avant.
Voir aussi "éducation fonctionnelle"
Consultez le site de la Société Française d'Orthopédie Dento-Faciale , dont la fiche "Déglutition et orthodontie" du 23 octobre 2009
Les parafonctions
Succion du pouce, d’un doigt, d’une tétine
Succion du pouce, d’un doigt, d’une tétine entraîne des malpositions dentaires et devront être stoppées dès que possible.
La succion digitale pérennise une dysfonction linguale.




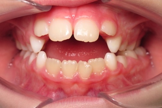
Béance antérieure due à la succion du pouce
L'hyperactivité des lèvres et des muscles du menton
Cette tonicité très forte des muscles du menton et de la lèvre inférieure, est reconnaissable à la présence d'une petite ride sous la lèvre inférieure.
La lèvre inférieure agit alors comme une sangle.
Cette action très puissante de la lèvre inférieure agit en sens inverse de la croissance de la mâchoire du bas (mandibule) et repousse les incisives du bas vers l'intérieur, créant ainsi des chevauchements des incisives inférieures.
Elle est souvent associée à la déglutition atypique.
La langue pousse les incisives supérieures vers l'avant et la lèvre inférieure comprime les incisives inférieures vers l'intérieur de la bouche; le décalage entre les
incisives est alors très important. Voir aussi "Éducation fonctionnelle"
