- Accueil
- L'orthodontie & vous
- Déroulement des premiers rendez-vous chez l'orthodontiste
Déroulement des premiers rendez-vous chez l'orthodontiste
Première consultation
La première visite au cabinet nous permettra de définir s’il y a besoin d’un traitement orthodontique, et si oui, est-ce le bon moment pour commencer ?
Peut-être est-il préférable d’attendre la chute de certaines dents de lait ou d’être plus proche du pic de croissance pubertaire.
Il est souvent conseillé de commencer tant qu’il reste encore des dents de lait, mais on ne peut pas généraliser, cela dépend de chaque problème. Chaque patient est différent, et seule une consultation avec parfois une, ou des radiographies, permettront de le définir. Voir aussi : à quel âge faut-il consulter ?
S’il est indiqué de commencer un traitement maintenant, un second rendez vous vous sera proposé afin d’établir un diagnostique précis.
Deuxième consultation
Lors de cette deuxième consultation, un dossier orthodontique sera réalisé, il a pour but d’établir un diagnostique précis ce qui permettra de déterminer quel appareil sera nécessaire, les différentes de phases de traitement et une durée approximative du temps de traitement nécessaire.
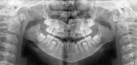
Ce dossier orthodontique est constitué de radiographies réalisées au cabinet, de moulages des dents, de photographies.

Téléradiographie de profil

Radiographie panoramique
D’autres examens complémentaires peuvent parfois être nécessaires (ex : scanner, cône beam, etc.)
L’examen de ces différents documents ainsi que l’examen des gencives, de l’occlusion, de la position de la langue, des lèvres et des différentes fonctions seront réalisés.
Les modalités administratives vous seront alors expliquées, la demande de prise en charge par la caisse sera réalisée (si le patient a moins de 16 ans) et un devis vous sera alors donné. Voir aussi : Coût et prise en charge
Ce rendez vous est d’une grande importance pour le déroulement du traitement et pour que vous puissiez bien en comprendre les différentes phases.
N’hésitez pas à poser les questions qui vous préoccupent.

