- Accueil
- L'orthodontie & vous
- Définition de l'orthodontie
Définition de l'orthodontie
L'orthodontie, c'est quoi ?
L'orthodontie corrige la position des dents. Elle est possible à tout âge et se fait au moyen d'appareils fixes encore appelés « multi-attaches », collés sur les dents.
Ces appareils font appel aux propriétés élastiques et à mémoire de forme de nouveaux alliages issus notamment de la recherche spatiale.
Des tractions intermaxillaires élastiques peuvent être associées à des multi-attaches.
Ces appareillages multi-attaches, traditionnellement métalliques sur la face externe (vestibulaire) de la dent, deviennent de plus en plus discrets ; ils existent aujourd'hui en céramique, de la couleur de la dent, ou peuvent être collés sur la face interne de la dent (orthodontie linguale) pour devenir totalement invisibles.
Orthopédie dento-faciale
Parfois la croissance des mâchoires est insuffisante, trop importante ou déviée; l'orthopédie dento-faciale est la science permettant de modifier la croissance des mâchoires.
Elle ne peut être réalisée que sur un patient jeune, en croissance et se fait au moyen d'appareils amovibles. Les appareils amovibles restent des appareils de choix dans les traitements nécessitant une phase de rééducation de certaines fonctions (positionnement de langue...) ou d'orthopédie chez l'enfant jeune (correction des décalages des bases osseuses).
Chez l'adulte, la correction des mâchoires est toujours possible, mais une chirurgie sera alors nécessaire.
Principe de l'orthodontie
Des forces légères exercées pendant une longue durée sur les dents les font bouger, grâce à une apposition et une résorption constante de l'os alvéolaire entourant les racines.
Elle permet ainsi l'optimisation esthétique et fonctionnelle des arcades dentaires et la correction des malocclusions. Elle permet ainsi de favoriser l'esthétique mais aussi les fonctions que sont la mastication, la phonation, la respiration, la déglutition et la croissance. Il faut aussi mentionner que des dents alignées sont plus faciles à nettoyer, ce qui constitue une forme de prévention contre les caries et les parodontopathies (dents qui se déchaussent).
Indications orthodontiques
Raisons esthétiques
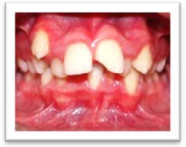
Malpositions dentaires, dissymétries faciales majeures.

Morsure palatine
Les incisives inférieures blessent la muqueuse palatine et risque de déchausser les incisives supérieures.

Difficultés d'incision et de mastication
Cela est causé par le décalage créant un écart entre les incisives supérieures et inférieures.


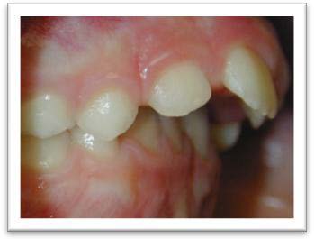
Risque de fractures des incisives supérieures quand elles sont trop avancées

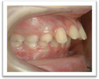
Inversé articulé unilatéral qui peut entraîner une asymétrie osseuse et musculaire

Inversé articulé précoce

Inversé unilatéral à droite
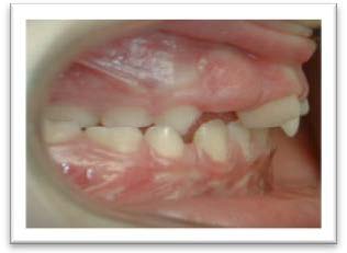
Canine(s) incluse(s) avec risque de résorption de l'incisive latérale

Béance antérieure

