- Accueil
- L'orthodontie & vous
- Conditions pour la réussite du traitement orthodontique
Conditions pour la réussite du traitement orthodontique
Appareil dentaire amovible
Le succès dépend de l'assiduité dans le port de cet appareil.
Il est nécessaire de suivre scrupuleusement les indications données par le praticien.

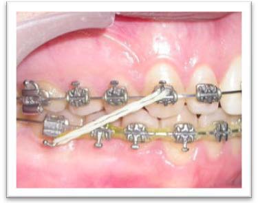
Appareil dentaire fixe
Règle n°1 : Ne rien décoller
Les attaches sont collées sur les dents. Il est très important pour l'efficacité, donc la durée du traitement, de ne pas les décoller. Pour cela, il faudra supprimer les aliments durs, bonbons, carambars... Il est impératif de ne pas forcer sur les attaches en mangeant ou en mordillant crayon ou autre. Chaque fois que l'on doit recoller une attache, la durée du traitement augmente !!!
Les sucreries bonbons, sucettes déposent des sucres sur les dents à l’origine de tâches blanches inesthétiques.

Règle n°2 : Bien porter les élastiques
Pourquoi porter des élastiques ?
Ils servent à déplacer les dents dans une direction donnée et à obtenir un bon engrènement entre les dents du haut et du bas.
Il est impératif de les porter scrupuleusement selon les indications données. La durée du traitement en dépend.
Les attaches fixes s'accompagnent du port d'élastiques inter-maxillaires.
Les élastiques sont des anneaux fabriqués en caoutchouc naturel ou en latex. Ils se présentent en plusieurs tailles et formes.
Port des élastiques
-
Au début du port des élastiques, vous pourrez ressentir quelques petites sensibilités pendant un ou deux jours. Pas de panique, continuez à les porter, vous vous y habituez très vite.
-
Retirer les pendant les repas et le brossage des dents, et n’oubliez pas de les remettre aussitôt après.
-
Changer vos élastiques une fois par jour.
-
Surveillez votre stock d’élastiques : venez en chercher dès qu’il diminue.
-
Ayez toujours des élastiques de secours dans votre poche en cas de casse.
-
Si vous portez bien vos élastiques, votre traitement avancera plus vite.
-
Dans le cas contraire, ton traitement n’avancera pas et durera plusieurs années.
-
Si vous les mettez irrégulièrement, vos dents reviennent à chaque fois à leur place d’origine.

Règle n°3: Hygiène parfaite
Un brossage après chaque repas à l'aide d'une brosse à dent (dont la tête n'est pas trop grosse) avec un dentifrice fluoré est nécessaire.
L'usage de brossette inter-dentaire est recommandé.
Un hydropulseur est un excellent complément au brossage, il permettra de nettoyer les endroits inaccessibles à la brosse à dent.
Une hygiène parfaite vous assurera des dents sans tâche ni carie.
Les premiers signes d'une hygiène insuffisante sont une gencive qui rougit, qui gonfle, qui saigne lors du brossage.





